
Naša FilozofiaVáš úsmev je
Váš úsmev je
naša vášeň
Chceme, aby ste sa u nás cítili inak ako v bežnej ambulancii. Priestory sme navrhli tak, aby ste sa necítili ako u zubára, ale skôr ako doma.
Pokojná atmosféra, osobný prístup a prostredie, ktoré dýcha pohodou. Pretože veríme, že aj návšteva stomatológie môže byť príjemným zážitkom.
Spoznajte násGaléria
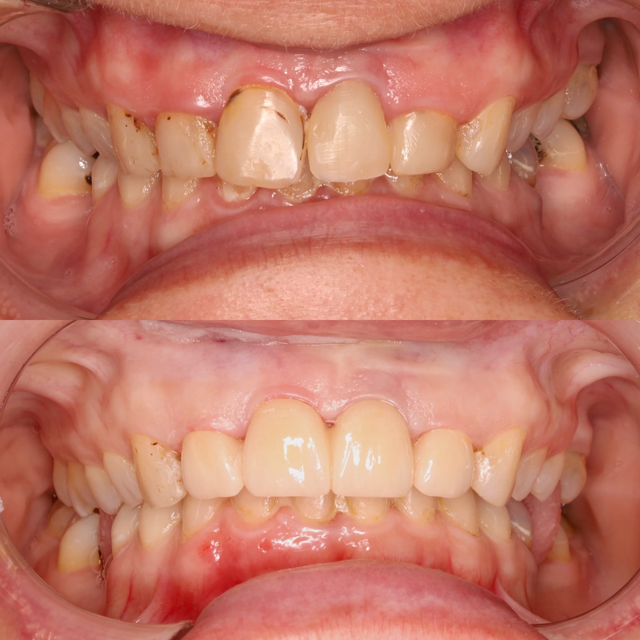
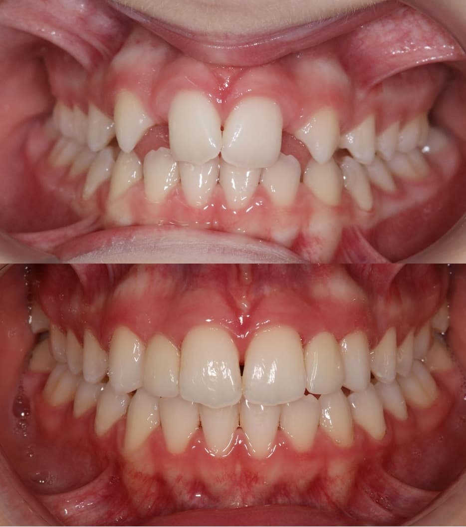
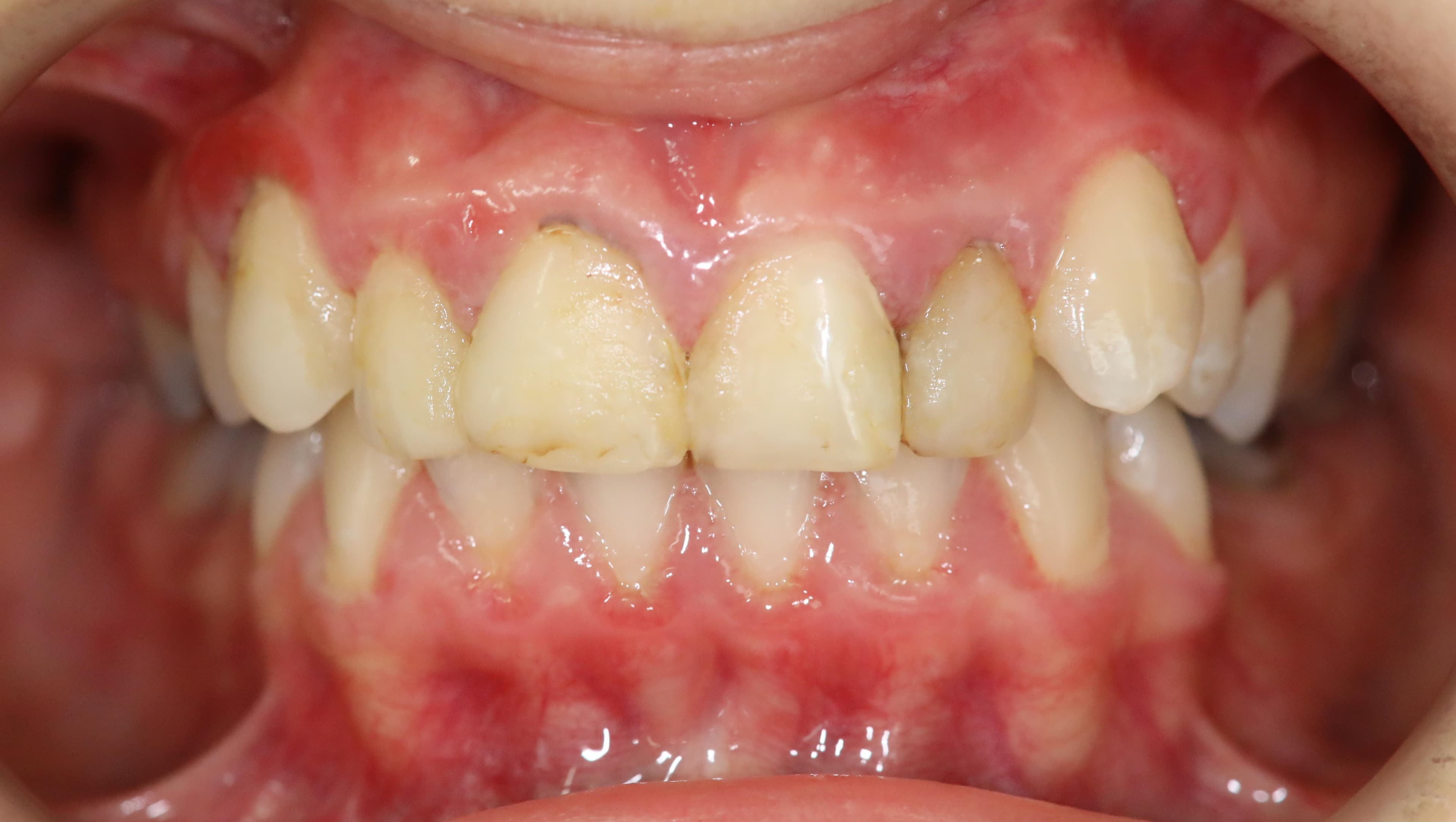
Zobraziť celú galériuVýsledky našej práce
Estetická Medicína



Mezoterapia

Botulotoxín
Stomatológia

Zirkónové korunky

Keramická fazeta

Bielenie zubov

Výmena amalgámu
Komplexná starostlivosť
Naše služby

Ošetrenie zubov
- Vstupné vyšetrenie
- Digitálne 2D/3D RTG
- Endodoncia
- Dentálna hygiena
- Bielenie zubov

Náhrada zubov
- Keramické fazety
- Zirkónové korunky
- Mostíky

Chirurgia
- Extrakcie zubov
- Implantáty* v spolupráci s inými lekármi

Estetická Medicína
- Lip Lift
- Gummy Smile korekcia
- Modelácia pier
- Aplikácia botulotoxínu
- Mezoterapia tváre
- Bruxizmus
Rezervácia
Objednajte sa
Kde nás nájdete
Navštívte našu kliniku
location_on
Adresa
Námestie Mieru 242/1
908 51 Holíč
(hneď za budovou pošty)
Parkovanie: Parkovné vám po predložení SMS správy o zaplatení odčítame z ceny zákroku.
mail
schedule
Otváracie hodiny
Po - Pia: 8:00 - 17:00
Víkend: Zatvorené
